Кандидоз или молочница — это воспаление, которое вызвано активным ростом дрожжеподобных грибов рода candida. Рот является одной из излюбленных частей тела, которая чаще всего поражается этой инфекцией. Такая проблема характерна больше для детей, и реже встречается у взрослых людей.
Причины возникновения молочницы на слизистой рта
Слизистые оболочки рта покрыты микрофлорой. Молочница в этой области возникает, если грибки рода Candida необычайно активно размножаются. Вследствие чего они проникают в базальный слой эпителия. Со временем начинает появляться белый налёт в ротовой полости, который по своему внешнему виду напоминает молочную пенку. Если её устранить, то слизистая немного отекает и становится ярко-красного цвета.
Возможно, появление в небольших количествах кровяных флагов. Грибок — это почкующиеся клетки, около 3–5 мкм присутствующие, у 75% населения планеты. Статистически большинство таких случаев проходят безболезненно. Это заболевание возникает из-за ослабленного иммунитета. Но, существуют ещё не менее весомые признаки, которые послужат толчком к развитию молочницы.
Вот некоторые из них:
- наличие онкологических заболеваний, ВИЧ, туберкулёза,
- при проблемах желудочно-кишечного тракта, связанных с пониженной кислотностью или ахилия желудка,
- беременность или использование контрацептивных препаратов может стать причиной появления этой довольно неприятной болезни,
- наличие сахарного диабета и как следствие нарушения обмена углеводов,
- использование зубных протезов, которые могут вызвать аллергические реакции.
- дефицит витаминов,
- синдром сухой ротовой полости.

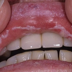
Кандидоз ротовой полости, это серьёзная проблема, которую нужно решать, не откладывая на завтра, так как она может привести к неприятным, серьёзным последствиям. Первичная форма заболевания проявляется поверхностно. И подвергается быстрому лечению без каких-либо осложнений. Если долгое время не обращать на неё особого внимания, или избавиться от действия неблагоприятного фактора, то болезнь наберёт обороты и перерастёт в хроническую форму (см. фото). Это изрядно скажется на вашей повседневной жизни.
При иммунодефиците или действии других вредных факторов, кандидоз может перейти в системную форму, что является опасным для человеческой жизни, так как грибок может перейти на внутренние органы. Лечение такой формы заболевания , довольно сложный и длительный процесс.
Вернуться к оглавлению
Симптомы заболевания
Чтобы определиться с правильным лечением специалист должен для начала изучить симптомы. Первое, что свидетельствует о наличии кандидоза во рту — это белый, густой налёт. Он может быть на слизистых оболочках внутренней стороны щёк, языке, деснах и даже на поверхности глотки. Первым за что берётся врач это определение времени, в течение которого появилась молочница. Легкая отечность и покраснение слизистой оболочки говорит о начальной стадии болезни.
Если при осмотре было выявлено, что оболочка покрыта язвами или на отёчности видны следы крови, то это уже запущенная форма и болезнь существует долгое время. Кроме этого, может быть сухость в ротовой полости, неприятный запах, общая слабость и болевые ощущения при употреблении сладкой, солёной или острой пищи. Не нужно прилагать усилия и самостоятельно снимать бляшки. Лучше обратитесь за помощью к врачу.
Вернуться к оглавлению
Молочница у детей и младенцев

Такое проявление матери списывают на появление первых зубиков, что приводит к несвоевременному лечению. Кроме этого, малыш начинает стремительно худеть, аппетит ухудшается. Так как образуются ранки и язвы, которые приносят боль и неприятные ощущения при глотании молока. Становится любопытно, откуда ещё совсем маленький ребёнок, не имеющий вредных привычек и вполне здоровой, может подцепить эту болячку? Провоцируют развитие молочницы различные внешние факторы:
- Наиболее распространённым способом заражения является рождение ребёнка женщиной, которая на момент беременности была носителем грибковой инфекции.
- Несоблюдение общих принципов гигиены. Это, плохо стерилизованные соски или посуда, из которой ест малыш.
- При кормлениях грудью. Ведь большое количество этого грибка находится на сосках матери.
- Общее снижение иммунитета у новорождённых.
Поэтому нужно быть внимательным к внешним изменениям, происходящим с вашим ребёнком.
Вернуться к оглавлению
Эффективное лечение
Для устранения молочницы врачи назначают медикаментозное лечение, которое включает в себя прием препаратов, помогающих избавиться от неприятного запаха, имеющихся ранок и 
Также эффективный метод, который помогает бороться с кандидозом — это полоскания. Чаще всего используют раствор соды или буры каждые два часа. Обязательно после еды и на ночь. Раствор можно приготовить самостоятельно или приобрести в аптеке. Он поможет снять отёк, воспаление, снижает кислотность во рту и устраняет мёртвые частички эпителия. После такой процедуры рекомендуется нанести средство, которое обладает антисептическим действием. Если во рту есть возбудители инфекции: плохо вылеченные зубы, кариес или человек не соблюдает гигиену, то устранить кандидоз невозможно. Также снижены шансы на удачное избавление от молочницы для курильщиков.
Вернуться к оглавлению
Как лечить молочницу дома?
Так как молочница ротовой полости представляет собой достаточно распространённое явление, то и у народной медицины есть свои рецепты, которые помогут побороть недуг. Они признаются традиционной медициной, но только как вспомогательные процедуры. С помощью домашних методов можно вылечить кандидоз, находящийся на ранних стадиях.
Вернуться к оглавлению
Полоскания
Этот метод борьбы с молочницей известный практически всем. Особенно содовый. Но есть ещё один рецепт, который не уступает эффективными свойствами. Готовится он на основе эфирных масел (чайное дерево, эвкалипт, лаванда и другие), которые обладают антигрибковым действием. Приготовить его очень легко и быстро. Нужно взять стакан тёплой воды и добавить в него десять капель эфирного масла.
Вернуться к оглавлению
Отвары лекарственных растений
Народная медицина, базируется на лечебных свойствах растений. Большая часть таких растений быстро восстанавливает слизистые оболочки, так как имеют сильное антисептическое и противовоспалительное действие. Стоит обратить внимание на календулу, зверобой и дубовую кору. Ведь именно отвары из этих растений помогут убрать основные симптомы молочницы.
Вернуться к оглавлению
Аппликации
Чтобы этот метод дал максимальный эффект следует для начала ватным тампоном очистить поражённые участки от налёта. Предварительно обработав тампон содовым раствором. Основным компонентом аппликации является естественный мёд. Можно смазать им поражённые участки или просто держать во рту до полного растворения. Кроме этого, можно взять марлю, которую пропитывают маслом из растительных вытяжек (зверобой, календула) и на 15 мин. приложить к проблемным местам.
Вернуться к оглавлению
Целебные соки
Обычно это сок выдавливают из лука, чеснока, полыни, моркови. И просто смазывают инфицированные участки слизистой оболочки. Это ускорит процесс заживления. Кроме этого, именно эти овощи богаты витаминами, которые способны укрепить иммунитет.
В основном молочница у взрослых проходит за две недели качественного лечения. Но для профилактики лучше проводить все те процедуры ещё пару дней после исчезновения симптомов.
Вернуться к оглавлению
Основные мифы о кандидозе
Кандидоз лечится довольно успешно, но все же люди иногда допускают ошибку прислушиваясь к очередным мифам о заболевании:
- Если применять антибиотики, то лечение пройдёт быстрее. Это ложная информация. Поскольку неправильное употребление таких препаратов может привести лишь к усилению болезни. Лечить молочницу нужно средствами, которые имеют антигрибковое действие.
- Если нет налёта, то и болезнь прошла. Хотелось, чтобы все было так просто. Необходимо подлечиться полностью, а не к исчезновению одного из симптомов. Потому что невылеченная болезнь может вернуться.
- Зелёнка решит проблему. Доля правды в этом есть. Но не стоит рисковать. Так как она пересушивает слизистую оболочку и вызывает раздражение, что только ухудшит ситуацию.
Не допускайте подобных ошибок. Если вы обнаружили признаки молочницы, не занимайтесь самолечением и не затягивайте с визитом к доктору. Запущенные формы заболевания, переходят в хроническую стадию, которую довольно сложно лечить.
Вернуться к оглавлению
Диета, которая закрепляет результат
Когда, вам удалось избавиться от молочницы, которая так долго допекала, обратите внимание на свой рацион. Ведь пренебрежение им сможет привести к быстрому восстановлению проблемы, с которой вы так боролись. Уменьшите количество сладкого, соленного и острого. Именно эта пища вызывает боль и жжение. И неодобрительно скажется на здоровье.
Узнайте больше о продуктах, которые можно употреблять. Подойдите к проблеме с особой серьёзностью. Молочницу обязательно нужно лечить, дабы не спровоцировать тяжёлые заболевания внутренних органов. Инфекция может попасть в лёгкие или желудок, а из них в кровь. Для более эффективного лечения обращайтесь к врачу.
